Man in China discovers 18cm parasite in his brain after eating snake gall years ago
A man from Hunan, China, had an 18cm parasite worm removed from his brain after his vision deteriorated to seeing “mosaic” for over a year, reports Malaysia’s Sin Chew Daily.
Mr Li (name transliterated) first began noticing discomfort in April last year.
He frequently felt something in his eye, and soon after, he started to see “mosaic-like” objects floating in his field of vision.
As the symptoms worsened, he sought medical attention. However, an initial eye exam showed that his eyes were normal, leading doctors to believe it was nothing serious.
Despite the odd symptoms, Mr Li chose not to undergo any treatment at the time, as the symptoms did not significantly impact his daily life.
Parasitic worm discovered after severe symptoms
Things took a dramatic turn by the end of July this year. Mr Li suddenly experienced more severe symptoms, including blackouts, foaming at the mouth, body convulsions, and stiffness.
These alarming developments pushed him to seek immediate medical attention again.
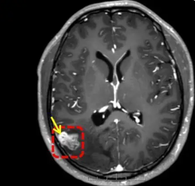
Upon further investigations, which included an MRI, doctors found a foreign object inside his brain.

Source: QQ News
Initially, it was unclear what the object was, but they soon discovered that it was an 18cm-long parasitic worm, specifically, a Taenia solium, also known as a pork tapeworm.
Patient admitted to eating raw snake gall years earlier
The diagnosis puzzled the doctors, especially considering the long timeline of Mr Li’s symptoms.
After confirming the presence of the worm, doctors performed a craniotomy, or skull surgery, to remove the parasite.
The procedure was successful, and after 10 days of post-operative care and observation, Mr Li was discharged from the hospital.

Source: QQ News
After finding out about his diagnosis, Mr Li recalled that he had eaten raw snake gall many years ago.
According to him, he had caught a snake, gutted it, and swallowed the gall bladder whole without breaking it, thinking it would bring him health benefits.
The doctors believe that consuming raw snake gall introduced the Taenia solium parasite into Mr Li’s body, and over time, it made its way to his brain, causing the severe neurological symptoms.
Doctors advise against drinking untreated water & eating raw meat
Medical professionals urge the public to remember the “three don’ts” to prevent parasitic infections: don’t drink untreated water, don’t eat raw meat, and don’t apply raw meat to open wounds, according to China’s QQ News.
These precautions are crucial to reducing the risk of parasitic infections.
Have news you must share? Get in touch with us via email at news@mustsharenews.com.
Featured image adapted from QQ News.








