Woman runs half-marathon with persistent cough, discovers later that she’s suffering from lung infection
A Malaysian woman was shocked to discover she had a bacterial lung infection after enduring a persistent month-long cough.
Amazingly, she realised after the diagnosis that she had completed a 21km half-marathon while her lungs were filled with infection, reported Sin Chew.
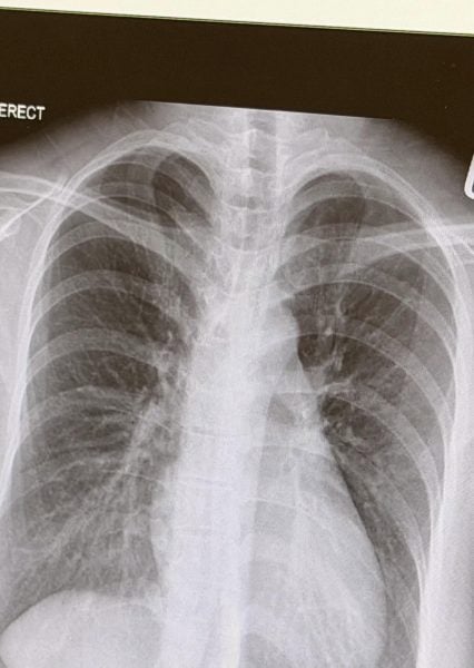
X-ray reveals white streaks inside lungs
Ms Mia, a popular TikTok content creator with over 2.3 million followers, shared her experience on Threads on Sunday (30 Nov).
She said she had been coughing continuously for a month, though without phlegm, and initially dismissed it as something minor.
However, when she began experiencing chest tightness and pain, she decided to undergo an X-ray.

Source: @miaazahar on Threads
The scan revealed white streaks across her lungs, a sign of bacterial infection.
She was immediately admitted to the hospital and placed on antibiotics.
During her hospitalisation, Ms Mia said she was stunned to realise she had run the Shah Alam 21km half-marathon on 29 Nov while her lungs were infected.
Previous tests were normal
She shared that her earlier blood tests and swab tests had all returned normal results. Therefore, she did not expect her cough to be caused by a lung infection.
In a follow-up post, she uploaded a selfie using a nebuliser, thanking fans for their concern.

Source: @miaazahar on Threads
She noted it was her first time using her hospital admission guarantee letter in four years — and her first-ever nebuliser treatment.
“No wonder my kids don’t like using it, it tastes a bit salty,” she joked.
Condition improving, discharge expected
Ms Mia used the experience to remind others not to ignore persistent coughing, chest discomfort, or breathing issues, urging prompt medical attention.
In an update posted on Wednesday (3 Nov), she shared that her condition had improved and doctors expected to discharge her the following day.
Also read: Girl in Vietnam dies after squeezing pimples at home, diagnosed with skin infection
Girl in Vietnam dies after squeezing pimples at home, diagnosed with skin infection
Have news you must share? Get in touch with us via email at news@mustsharenews.com.
Featured image adapted from @miaazahar on Threads.








